Рентгенов кабинет New Vision X-Ray
Безболезненo
Модерни технологии за максимален комфорт
Бързо
Снимките са готови от 2-5 мин.
Безопасно
за рутинни и спешни нужди
НАШИТЕ УСЛУГИ

Ортопамтомография- панорамна снимка(ОПГ)
цялостен преглед на члюстите.

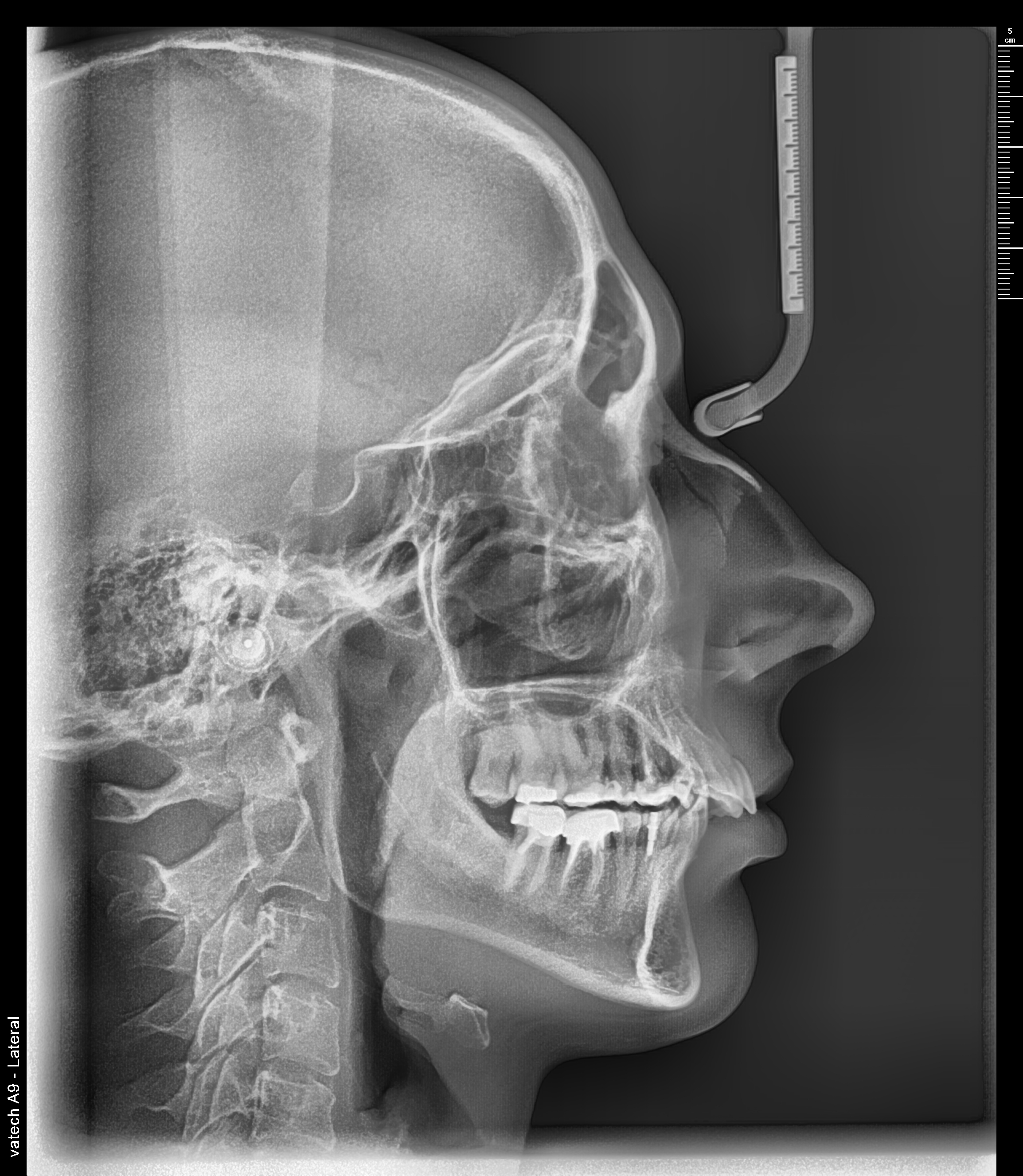
Телеренгтгенография
точна диагностика за ортодонтски и лицево-челюстни нужди.

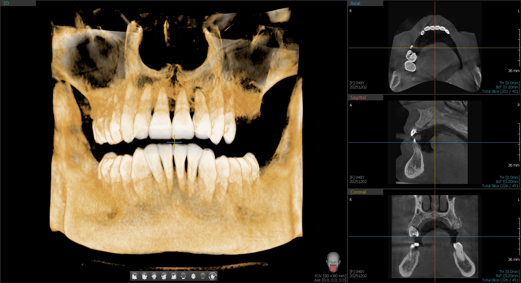
3D CBCT
прецизни 3D изследвания за импланти и сложни случаи.
Въпроси и Отговори
Оборудване

CEREC
Дигитален скенер
Модерен дигитален скенер за прецизни отпечатъци
Контакти
Свържете се с нас
Телефон
+359 888 748 860
Имейл
newvisionxray1@gmail.com
Работно време
Пон-Пет: 9:00 - 18:00